矯正歯科治療後のホワイトニング

ホワイトニングとは

笑顔の魅力が格段にアップ

笑顔の魅力が格段にアップ

ホワイトニングとは、通常の歯みがきや歯のクリーニングでは落ちない、加齢や遺伝による歯の黄ばみを、歯を削ることなく白くする方法です。
歯の表面にホワイトニング剤を塗布し、歯の黄ばみ、色素を分解して歯を白くしていきます。

天然の歯を白くしていくため、自然な色の仕上がりになります。
矯正歯科治療で歯並びを整えた後で、ぜひホワイトニングにもトライしていただければ、笑顔の魅力が格段にアップします。

当院のホワイトニングの5つの特徴

高濃度ジェルで短時間ホワイトニング

一般的なホームホワイトニングは過酸化尿素10%前後ですが、当院では16%の高濃度ジェルを採用しています。その結果、毎日の装着時間が約30分短縮され、忙しい方でも効率よく白い歯を目指すことができます。

ジェルの増粘性が高くムラなく仕上がる

当院のホワイトニングジェルは粘性が高く、装着中に流れ落ちにくい処方です。ジェルが歯面に均一にとどまるため、色むらのない美しい仕上がりが期待できます。

プロフェッショナルクリーニングを実施

ホワイトニングの前に歯科衛生士が徹底的にクリーニングをおこないます。表面の汚れを除去してから薬剤を浸透させることで、ホワイトニング効果がいっそう高まります。

オーダーメイドのマウスピーストレーを無償提供

歯型を採取して作る専用トレーを無料でお渡しします。フィット感が高く薬剤漏れを防ぐため、安全かつ快適にご自宅でホワイトニングを継続できます。トレーは追加ジェルで何度でも再利用可能です。

矯正矯正治療後の患者さまへ

歯列矯正で歯並びが整った患者さまには、仕上げとしてホワイトニングを推奨し、通常料金から2割引きでご提供しています。総額を抑えながら、より魅力的な笑顔を手に入れていただけます。

ホワイトニングの種類

ホームホワイトニング

濃度の低いジェルをトレーに入れ、ジェルを歯面にあてて漂白します。夜間就寝時にホワイトニングをおこなえば、2~3週間で効果が出てきます。
自分のペースで治療ができるので、仕事・学校が忙しい方にお勧めです。

治療期間 2〜4週間程度
通院回数 2〜3回程度
デメリット ・効果が出るまでに時間がかかる
・自分で行うため手間がかかる

オフィスホワイトニング

歯科医院でおこなうホワイトニングです。歯面にジェルを塗り、特殊な光を一定時間照射しておくだけで、白い歯を手に入れられます。ホームホワイトニングに比べて、即効性があるのが特徴です。

治療期間 2〜4週間以内に2~3回の施術
通院回数 1〜3回程度
デメリット ・色戻りが比較的早い
・知覚過敏が出やすい

オフィスホワイトニング症例

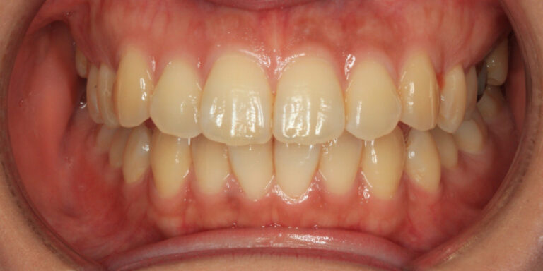
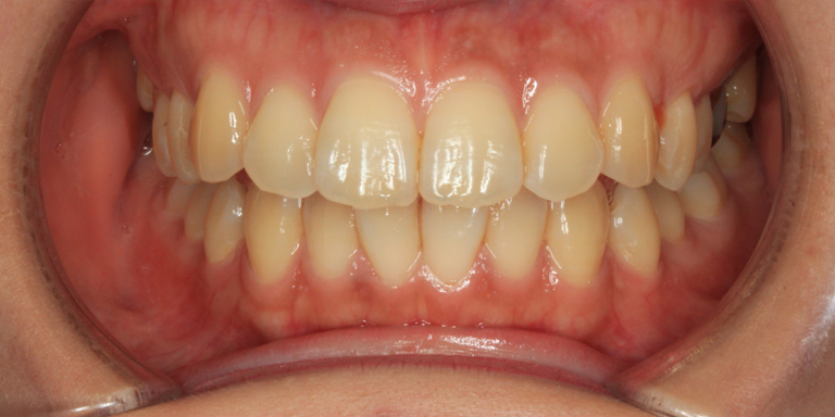
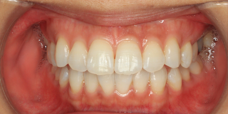
20代男性

治療前
治療前
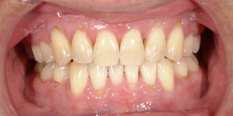
治療後
治療後
治療期間 1ヶ月程度
治療回数 1回〜3回程度
通院回数 1回〜3回程度
治療費 30,000円(税込)

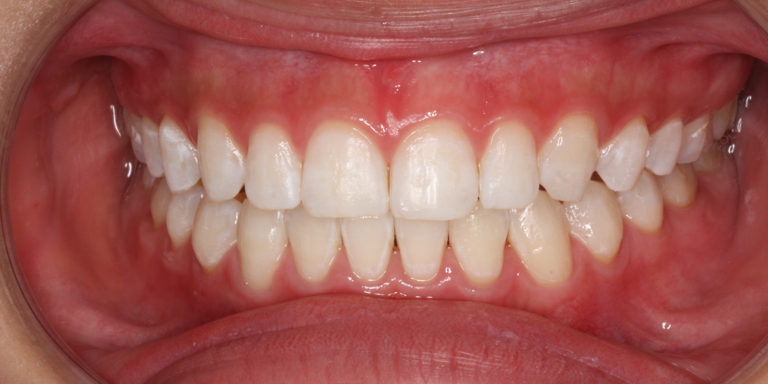
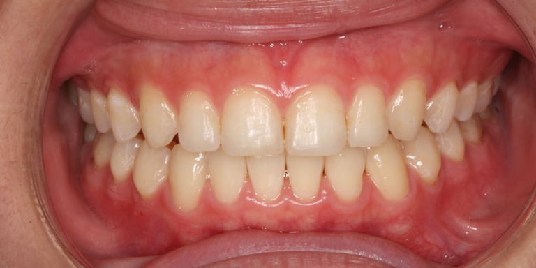
20代女性

ホワイトニング症例
治療前
ホワイトニング症例
治療後

20代女性

ホワイトニング症例
治療前
ホワイトニング症例
治療後

40代男性

40代男性
治療前
40代男性
治療後

口腔ケア

準備中

Reservations

ご予約・お問い合わせはお気軽に

03-3499-2222

  • 診療時間10:20~13:20/14:30~18:30
  • 休診日日曜日・祝日