当院の矯正装置

目立たない・見えにくい矯正装置をご用意

矯正を希望する患者さまが躊躇される理由は、治療中の見た目の問題です。できるだけ他人に知られず、矯正歯科治療をしたいという方へ、目立たない装置や透明な装置、取り外しのできる装置など、各種ご用意しております。

目立たない・見えにくい矯正装置をご用意

セラミックブラケット 半透明の矯正装置

ひと昔前までの矯正歯科治療は、ギラギラとした金属製の装置が主流でした。しかし近年は金属を半透明で見えにくいセラミックなどに変更した、新しい矯正装置が登場しています。
この「セラミックブラケット」と呼ばれる装置は、歯に装着するパーツが白いセラミック(陶器)でできているため、歯とよくなじみ、目立ちにくいのが特徴です。

舌側・裏側矯正 歯の裏側から装着する矯正装置

歯の裏側から装置を装着し、治療をおこなうのが【舌側(ぜっそく)・裏側矯正】と呼ばれる治療方法です。
装置を歯の裏側につけるので、見た目に矯正中ということがまったくわかりません。営業職、接客業、タレント業など、人前に出る仕事についている方にお勧めの装置です。

マウスピース型矯正装置(インハウスアライナー)

透明で取り外しが可能なマウスピース型の矯正装置です。装置が目立ちにくく、食事や歯みがきの際には取り外すことができるため、日常生活への影響が比較的少ない矯正方法です。段階的に形状の異なるマウスピースを交換しながら歯を少しずつ移動させていきます。
当院では、院内で設計・製作を行うインハウスアライナーを使用しています。院内ラボにて矯正歯科医師と歯科技工士が連携して装置を作製することで、患者様の歯並びや治療経過に応じた柔軟な対応が可能です。
※マウスピース型矯正装置は自由診療となります。費用・治療期間・副作用やリスクについては初診相談時にご説明いたします。

床矯正装置

床矯正は、取り外しができるプレートタイプの矯正装置です。主に成長期のお子さまの治療で用いられ、顎の成長を利用しながら歯列の幅を広げたり歯の位置を整えたりすることで、不正咬合の改善を目指します。
当院では矯正装置を「薬の処方」と同じように考え、患者様の歯並びや成長の状態、治療目標に合わせて装置を選択しています。院内ラボにて歯科技工士と矯正歯科医師が連携し、装置をオーダーメイドで設計・製作しています。(症状によってカスタムメイドの矯正装置を一部使用する場合があります)
床矯正装置は取り外しが可能なため、食事や歯みがきの際には外すことができます。ただし適応できる症例には限りがあるため、当院では検査と診断を行ったうえで適切な治療方法をご提案しています。

当院のマウスピース矯正の考え方

近年、マウスピース型矯正装置(アライナー矯正)は矯正治療の選択肢として広く普及しています。
透明で目立ちにくく、取り外しが可能なことから、多くの患者さんに利用されるようになりました。
当院でもマウスピース型矯正装置を用いた治療を行っていますが、特定の既製ブランドのアライナーシステムには依存せず、院内で設計・製作するインハウスアライナーを採用しています。
これは、矯正治療において装置は「薬の処方」と同じように、患者さん一人ひとりの状態や治療目標に合わせて設計されるべきものだと考えているためです。

当院では特定ブランドのアライナーを使用していません

マウスピース矯正にはさまざまなシステムがありますが、当院では特定のブランドの装置に限定した治療は行っていません。

その理由は、装置の種類を優先するのではなく、診断と治療計画を中心に治療方法を選択することが重要だと考えているためです。

当院では院内で装置の設計と製作を行うことで、患者さん一人ひとりの歯並びや咬み合わせ、治療経過に応じて柔軟に対応できる体制を整えています。

インハウスアライナーの特徴

当院には院内ラボがあり、矯正歯科医師と歯科技工士が連携しながら装置の設計・製作を行っています。

この体制により、以下のような特徴があります。

患者さんに合わせた装置設計
歯並びや咬み合わせの状態に合わせて装置の設計を調整できます。

院内ラボによる迅速な対応
装置の修理や再製作が必要な場合にも、院内で対応できるため迅速な調整が可能です。

治療経過に応じた柔軟な対応
治療の進行に合わせて装置を調整しながら治療を進めることができます。

矯正歯科治療を専門に行う歯科医師による治療計画

マウスピース矯正は装置の種類だけで決まるものではなく、診断と治療計画が最も重要です。
当院では矯正歯科治療を専門に行う歯科医師が診断を行い、患者さんの歯並びや生活スタイル、ご希望に合わせた治療方法をご提案しています。
マウスピース型矯正装置(自由診療)については、費用や治療期間、副作用・リスクなどについて初診時に詳しくご説明しています。

患者様へ

矯正治療にはさまざまな方法があります。
当院では、装置の種類を限定するのではなく、患者さん一人ひとりの状態に合わせて適切な治療方法を選択することを大切にしています。

マウスピース矯正についてご興味のある方や、歯並びについて気になることがありましたら、どうぞお気軽にご相談ください。

矯正歯科治療に伴う一般的なリスクや副作用について

① 最初は矯正装置による不快感、痛み等があります。数日間~1、2 週間で慣れることが多いです。
② 歯の動き方には個人差があります。そのため、予想された治療期間が延長する可能性があります。
③ 装置の使用状況、顎間ゴムの使用状況、定期的な通院等、矯正治療には患者さんの協力が非常に重要であり、それらが治療結果や治療期間に影響します。
④ 治療中は、装置が付いているため歯が磨きにくくなります。むし歯や歯周病のリスクが高まりますので、丁寧に磨いたり、定期的なメンテナンスを受けたりすることが重要です。また、歯が動くと隠れていたむし歯が見えるようになることもあります。
⑤ 歯を動かすことにより歯根が吸収して短くなることがあります。また、歯ぐきがやせて下がることがあります。
⑥ ごくまれに歯が骨と癒着していて歯が動かないことがあります。
⑦ ごくまれに歯を動かすことで神経が障害を受けて壊死することがあります。
⑧ 治療途中に金属等のアレルギー症状が出ることがあります。
⑨ 治療中に「顎関節で音が鳴る、あごが痛い、口が開けにくい」などの顎関節症状が出ることがあります。
⑩ 様々な問題により、当初予定した治療計画を変更する可能性があります。
⑪ 歯の形を修正したり、咬み合わせの微調整を行ったりする可能性があります。
⑫ 矯正装置を誤飲する可能性があります。
⑬ 装置を外す時に、エナメル質に微小な亀裂が入る可能性や、かぶせ物(補綴物)の一部が破損する可能性があります。
⑭ 装置が外れた後、保定装置を指示通り使用しないと後戻りが生じる可能性が高くなります。
⑮ 装置が外れた後、現在の咬み合わせに合った状態のかぶせ物(補綴物)やむし歯の治療(修復物)などをやりなおす可能性があります。
⑯ あごの成長発育によりかみ合わせや歯並びが変化する可能性があります。
⑰ 治療後に親知らずが生えて、凸凹が生じる可能性があります。加齢や歯周病等により歯を支えている骨がやせるとかみ合わせや歯並びが変化することがあります。その場合、再治療等が必要になることがあります。
⑱ 矯正歯科治療は、一度始めると元の状態に戻すことは難しくなります。

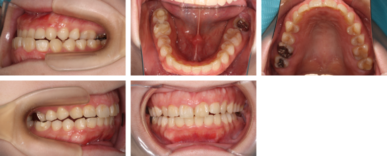
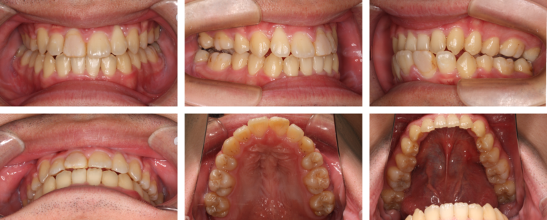
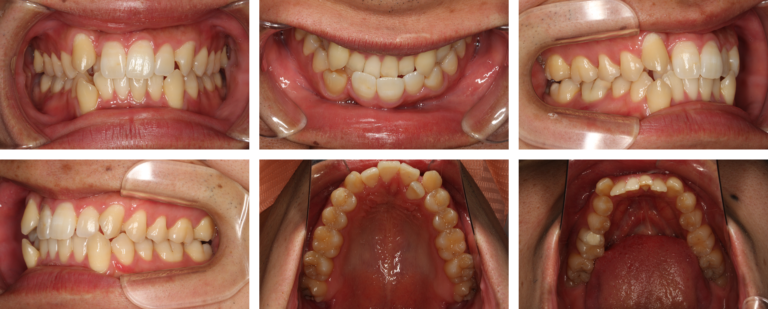
叢生

叢生:治療前
治療前
叢生:治療中
治療中
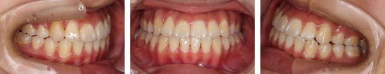
叢生:治療後
治療後

副作用歯の移動に伴う痛み、歯根吸収、歯髄壊死、装置による口内炎や違和感、治療後の後戻りの可能性

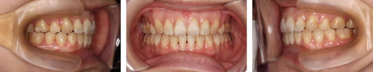
主訴 ガタガタ、上の歯が出ている
年齢 20代男性
症状 上下顎前突を伴う叢生(前歯部の重なり、歯列の乱れ)
治療方針 上下顎の抜歯によるスペース確保後、叢生と前突感を改善 表側
抜歯部位 上顎左右4番抜歯、下顎左右5番抜歯(計4本)
治療期間 約22ヶ月
治療回数 22回(1ヶ月に1回の通院ペース)
治療費 ¥946,000(税込)
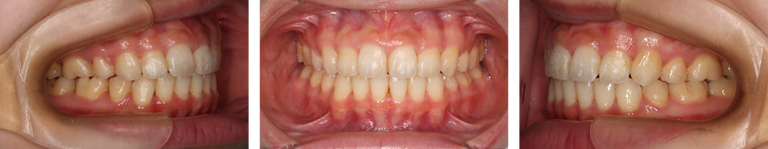
治療前
治療前
治療後
治療後
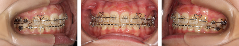
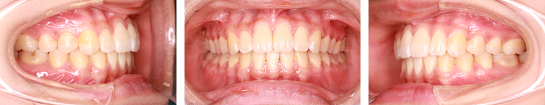
主訴

ガタガタ、正中のズレ、出っ歯、顎の曲がり

年齢 20代男性
症状 顎関節症Ⅲ型、骨格性Ⅰ級、歯性Ⅰ級、前歯部に叢生を認める
治療方針 上下表側装置
抜歯部位 上下左右4番、8番抜歯
治療期間 2年7ヶ月
治療回数 22回
治療費 ¥770,000(税込)

 

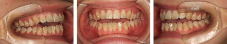
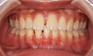
空隙歯列・正中離開

出っ歯、すきっ歯:治療前
治療前
出っ歯、すきっ歯:治療後
治療後
すきっ歯 治療前
治療前
すきっ歯症例
治療中
すきっ歯 治療後
治療後
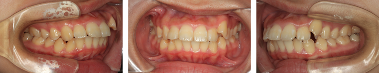
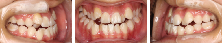
主訴 前歯が出ていて気になる
年齢 20代女性
症状 上顎前歯の前突および軽度の叢生
治療方針 抜歯によるスペース確保後、上下顎の前歯を後方移動 上表側 下裏側
抜歯部位 上顎左右4番抜歯
治療期間 約20ヶ月
治療回数 20回
治療費 ¥1,276,000(税込)
副作用 歯の移動による痛み、歯根吸収、口内炎、後戻りの可能性

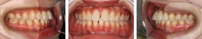
すきっ歯

すきっ歯 治療前
治療前
すきっ歯症例
治療中
すきっ歯 治療後
治療後

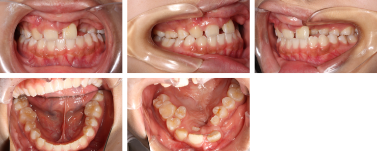
受け口(反対咬合)

受け口:治療前
治療前
受け口:治療中
治療中
受け口:治療後
治療後
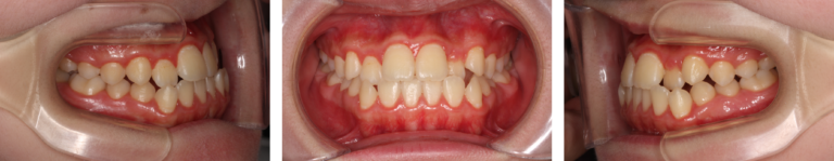
主訴 下の前歯が出ていて噛み合わせが気になる
年齢 10代後半・女性
症状 下顎前突に伴う前歯部の反対咬合
治療方針 上下顎の抜歯後、前歯の咬合関係を改善し、審美性・機能性を回復 骨切り手術を併用した上下表側
抜歯部位 上下左右の第一小臼歯(計4本)
治療期間 約24ヶ月
治療回数 24回(1ヶ月ごとの通院)
治療費 ¥232,380(保険)(税込)
副作用 歯の動きに伴う痛み、歯根吸収、口内炎、顎間ゴム使用による顎関節の違和感、後戻りの可能性
治療前
治療前
治療後
治療後
治療前-1
治療前
治療後-1
治療後
主訴

反対咬合

年齢 10代男性
症状

反対咬合

治療方針

上下表側装置、手術、上顎TAD4本埋入

抜歯部位

上左右4番、下左右8番抜歯

治療期間

51ヶ月(留学期間があるため)

治療回数

35

治療費 ¥766,800(税込)

開咬(前歯が噛んでいない)

開咬:治療前
治療前
開咬:治療中
治療中
開咬:治療後
治療後
主訴 前歯が噛み合わず、発音しづらい
年齢 20代前半・男性
症状 前歯部の開咬(上下の前歯が接触せず隙間がある)
治療方針 舌癖や口呼吸などの習癖の改善も含め、非抜歯にて歯列を垂直的にコントロール 骨切り手術を併用した上下表側
抜歯部位 非抜歯
治療期間 約20ヶ月
治療回数 20回
治療費 204,080円(保険)(税込)
副作用 歯の移動に伴う痛み、歯根吸収、開咬の再発リスク、舌癖の継続による後戻り

上顎前突

上顎前突症例
治療前
上顎前突症例
治療中
上顎前突症例
治療後
上顎前突症例
治療前
上顎前突症例
治療後

 

主訴 前歯が出ているのが気になる。前歯の凹凸
年齢 20代女性
症状 上顎前歯の前突および軽度の叢生
治療方針 顎関節治療と上下左右4番抜歯を行い口元の突出感を改善した 上下表側+顎関節治療 
抜歯部位 上下左右4番抜歯
治療期間 38カ月(顎関節治療含)
治療費 ¥880,000(税込)
治療前
治療前
治療中
治療中
治療後
治療後
主訴 両側唇顎口蓋裂
年齢 10代女性
症状 両側唇顎口蓋裂
治療方針 上下表側 抜歯部位 非抜歯
治療期間 99カ月(通院間隔や治療計画の調整により、標準的な治療期間より延長しています)
治療回数

62回

治療費 ¥183,470(税込)

 

治療前
治療後
治療後
主訴

反対咬合、先天疾患(舌血管腫)

年齢 10代男性
症状

反対咬合

治療方針

上下表側装置、手術

抜歯部位

上左右4番、上下左右8番抜歯

治療期間 4年
治療回数

40回

治療費 ¥208,640(税込)

 

矯正治療で手術が必要と言われた

治療前
治療前
治療後
治療後
主訴

噛み合わせが浅い

年齢 20代女性
症状 開咬を伴う骨格生下顎前突症
治療方針 上下表側装置、手術
抜歯部位

上左右4番、下左右8番抜歯

治療期間 2年7ヶ月
治療回数

32回

治療費 ¥229,210(税込)

 

治療前
治療前
治療後
治療後
治療前
治療前
治療後
主訴

ガミースマイルが気になる、口元の突出感が気になる

年齢 20代女性
症状 開咬を伴う骨格生下顎前突症
治療方針 上下骨切り手術を併用した表側矯正
抜歯部位

抜歯部位なし

治療期間 2年3ヶ月
治療回数

31回

治療費 ¥1,144,800(税込)

 

再矯正

治療前
治療前
治療後
治療後
主訴

上顎前歯の隙間が気になる

年齢

30代男性

症状

矯正治療終了後の後戻りが気になる

治療方針

アライナー矯正

抜歯部位

上下左右4番抜歯済み(以前の矯正時)

治療期間

16ヶ月

治療回数

19

治療費 ¥495,000(税込)

 

Reservations

ご予約・お問い合わせはお気軽に

03-3499-2222

  • 診療時間10:20~13:20/14:30~18:30
  • 休診日日曜日・祝日